Questões de Concurso
Filtrar
62 Questões de concurso encontradas
Página 8 de 13
Questões por página:
Questões por página:
Concurso:
Prefeitura de João Pessoa - PB
Disciplina:
Radiologia
Paciente masculino de 40 anos, HIV positivo, apresentando dispneia progressiva há 14 dias, realiza tomografia que evidencia: vidro fosco difuso, com algum espessamento septal de permeio, área cardíaca e espaços pleurais sem alterações. A principal hipótese diagnóstica é
Concurso:
Prefeitura de João Pessoa - PB
Disciplina:
Radiologia
Relacione adequadamente as colunas acerca dos principais achados na tomografia de tórax e assinale a alternativa com a sequência correta.
1. Atelectasia laminar. 2. Faveolamento. 3. Broncocele. 4. Bronquiectasia. 5. Consolidação.
A. Preenchimento, com substituição do ar, dos espaços alveolares por um produto patológico qualquer. B. Dilatação brônquica com retenção de secreções, geralmente causada por obstrução aproximal. C. Área focal de perda de volume pulmonar subsegmentar com configuração linear ou discoide, quase sempre se estendendo até a pleura. D. Múltiplos cistos, em geral, de localização subpleural, com diâmetros semelhantes, agrupados em camadas. E. Dilatação brônquica irreversível.
1. Atelectasia laminar. 2. Faveolamento. 3. Broncocele. 4. Bronquiectasia. 5. Consolidação.
A. Preenchimento, com substituição do ar, dos espaços alveolares por um produto patológico qualquer. B. Dilatação brônquica com retenção de secreções, geralmente causada por obstrução aproximal. C. Área focal de perda de volume pulmonar subsegmentar com configuração linear ou discoide, quase sempre se estendendo até a pleura. D. Múltiplos cistos, em geral, de localização subpleural, com diâmetros semelhantes, agrupados em camadas. E. Dilatação brônquica irreversível.
Concurso:
Prefeitura de João Pessoa - PB
Disciplina:
Radiologia
Paciente de 71 anos com aumento do PSA realiza RM com o seguinte resultado. Sobre essa RM, é correto afirmar que

Concurso:
Prefeitura de João Pessoa - PB
Disciplina:
Radiologia
Qual é a alteração morfológica evidenciada na seguinte reformatação tomográfica coronal em fase excretora?

Concurso:
Prefeitura de João Pessoa - PB
Disciplina:
Radiologia
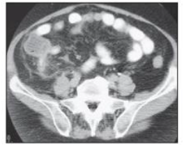
Paciente masculino de 45 anos dá entrada ao PA com dor em FID há 7 horas, inapetência e febre. Ao exame clínico, há dor à descompressão brusca da FID. A imagem tomográfica a seguir confirma o diagnóstico de

