Questões de Concurso
Filtrar
50 Questões de concurso encontradas
Página 7 de 10
Questões por página:
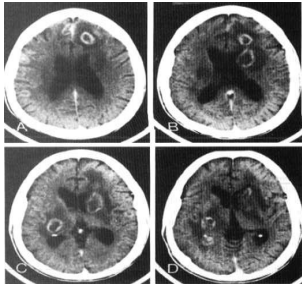
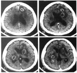
Mulher de 22 anos de idade procurou o pronto-socorro com história de quatro dias de queda do estado geral, rebaixamento de nível de consciência e dois episódios de convulsões tônico-clônicas generalizadas. Exame neurológico na chegada mostrava hemiparesia à esquerda, Glasgow 13, sem sinais de irritação meníngea e com fundo de olho normal. Foi solicitada tomografia computadorizada de crânio, cujas imagens estão apresentadas a seguir. O médico da CCIH foi chamado para o parecer na conduta medicamentosa.


Considerando que a principal hipótese diagnóstica foi confirmada, qual deve ser a conduta?
Uma criança de 6 anos de idade chega ao pronto-socorro com queixa de febre alta há dois dias associada com dor intensa e edema na articulação do joelho esquerdo. O resultado da bacterioscopia do material coletado na punção articular revelou cocos gram negativos.
Qual a melhor opção de tratamento antimicrobiano?
Aproximadamente 10% dos pacientes hospitalizados infectam-se pelo fato de serem submetidos a procedimentos invasivos ou pelo uso de terapia imunossupressora. O uso excessivo e indiscriminado de antimicrobianos tem resultado no surgimento de cepas bacterianas multirresistentes. Essa situação tem se transformado ao longo dos últimos anos em um grave problema para a prevenção e o controle das infecções relacionadas à assistência à saúde (IRAS).
Em relação a essa problemática, assinale a alternativa correta.