Questões do concurso:
MPU - 2013 - Analista e Técnico do MPU
limpar filtros
2.257 Questões de concurso encontradas
Página 6 de 452
Questões por página:
Questões por página:
Concurso:
MPU
Disciplina:
Odontologia

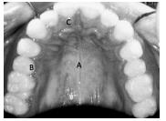
Considerando a imagem apresentada acima, julgue o item subsecutivo.
A face oclusal dos dentes molares apresenta fóssulas e fissuras dentre outras estruturas.
Concurso:
MPU
Disciplina:
Odontologia

Considerando a imagem apresentada acima, julgue o item subsecutivo.
A letra C indica a gengiva, uma mucosa de revestimento que envolve exclusivamente o colo dos dentes decíduos.
Concurso:
MPU
Disciplina:
Odontologia

Considerando a imagem apresentada acima, julgue o item subsecutivo.
A letra B indica um dente segundo molar decíduo.
Concurso:
MPU
Disciplina:
Odontologia

Considerando a imagem apresentada acima, julgue o item subsecutivo.
A letra A indica o palato duro.
Concurso:
MPU
Disciplina:
Odontologia

Considerando a imagem apresentada acima, julgue o item subsecutivo.
A imagem representa uma tomada intrabucal de um indivíduo com dentição mista.