Filtrar


Questões por página:
Qual das situações de trauma abaixo é diagnosticada com acurácia através do FAST?
Homem 23 anos. Vítima de espancamento. Admitido numa unidade básica com insuficiência respiratória por fratura de mandíbula bilateral e hematoma. Médico do SPA realizou uma cricotiroidostomia por punção e encaminhou ao centro de trauma mais próximo.
Segundo o ATLS, por quanto tempo podemos ventilar o paciente através desse método?
Mulher 70 anos. Admitida na emergência com quadro de obstrução intestinal. Após realizar uma TC de abdome sem contraste, foi sugerido um diagnóstico de íleo biliar.
Qual dos achados tomográficos abaixo é compatível com essa situação cirúrgica?
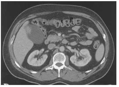
Mulher 57 anos. Assintomática do ponto digestivo. Realizou TC do abdome sem contraste para avaliação de cólica nefrética e suspeita de ureterolitíiase.
Após avaliação da imagem abaixo, você indicaria qual procedimento cirúrgico?

Imagem associada para resolução da questão
Na visão laparoscópica da hernioplastia inguinal, qual triângulo está localizado entre o ducto deferente e os vasos espermáticos?