Questões de Concurso
Filtrar
350 Questões de concurso encontradas
Página 65 de 70
Questões por página:
Questões por página:
Homem 61 anos, portador de cirrose hepática alcoólica. Apresentou hemorragia digestiva alta por varizes de esôfago com quadro de choque hemorrágico grau II. EDA não conseguiu parar o sangramento e contactou com o cirurgião.
Qual o tratamento adequado nessa situação?
Qual o tratamento adequado nessa situação?
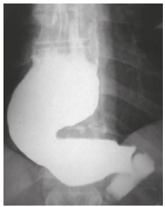
Mulher,56 anos, portadora de megaesôfago grau IV (imagem abaixo). Admitida na enfermaria com desnutrição grave. Após instalação de sonda nasoenteral e dieta, passou a apresentar exames laboratoriais compatíveis com síndrome de realimentação.
Após realizar um ionograma, qual alteração foi identificada?
Após realizar um ionograma, qual alteração foi identificada?
