Filtrar


Questões por página:
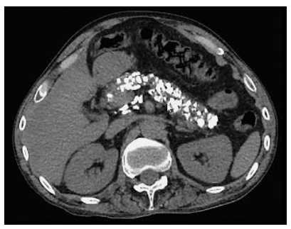
Homem,45 anos, etilista por 10 anos. Na investigação de uma dor abdominal, realizou a TC abaixo.
Qual sintoma NÃO é esperado nessa situação?

Imagem associada para resolução da questão
Qual dos tumores pancreáticos abaixo é melhor tratado, quando possível, com cirurgias de enucleação?
Homem 24 anos. Vítima de acidente motociclístico há 1 h (veículo elétrico+ sem capacete). Admitido na emergência com Glasgow de 9 e tríade de Cushing. Apresentava hemotímpano E., paralisia facial E. e sinal de Battle + otoliquorreia D.
Qual dos sinais clínicos apresentados NÃO é característico de fratura de base craniana?
Mulher 44 anos. Procurou o proctologista. Dor + secreção anal há 2 meses. No exame físico (realizado em posição de litotomia), identifica-se orifício fistuloso posterior à linha médio-anal com saída de secreção purulenta.
Podemos concluir que se trata de
Homem 55 anos. Portador de esteatose hepática moderada, realizou USG de acompanhamento que evidenciou lesão polipoide em vesícula biliar de 0,6 cm + ausência de cálculos. O hepatologista encaminhou para o cirurgião.
Qual a conduta adequada a ser tomada?