80 Questões de concurso encontradas
Página 2 de 16
Questões por página:
Paciente, homem,66 anos, comparece a consulta ambulatorial assintomático. Refere ser tabagista pesado. Refere que há 3 meses teve quadro de dor torácica importante, referida como pior dor da vida com irradiação para as costas. Foi ao Pronto Socorro, sendo realizado Eletrocardiograma e marcadores de necrose miocárdica que estavam normais e então recebeu alta. No exame físico, paciente não apresenta alterações. Pela suspeita diagnóstica de etiologia da dor torácica que aconteceu há 3 meses, foi solicitado o exame abaixo e o paciente traz no retorno em 1 mês, mantendo-se assintomático:

Analise as afirmativas abaixo:
I. O paciente provavelmente apresentou dissecção aguda de aorta na sua ida ao Pronto Socorro há 3 meses. Pelo achado da imagem, pode-se concluir que se trata de Dissecção de Aorta Stanford A.
II. Nos casos de dissecção crônica (caso do paciente), deve-se avaliar outros parâmetros para indicação cirúrgica, como tamanho de aneurisma de aorta, se dor refratária, Insuficiência aórtica associada.
III. Caso na ida ao Pronto Socorro tivesse sido realizada a tomografia e identificado o diagnóstico, o paciente tinha indicação cirúrgica de urgência/emergência.
IV. Deve-se prescrever medicações para manter o controle do duplo produto, ou seja, manter Pressão arterial bem controlada e frequência cardíaca próximo a 60 batimentos por minuto.
Assinale a alternativa correta
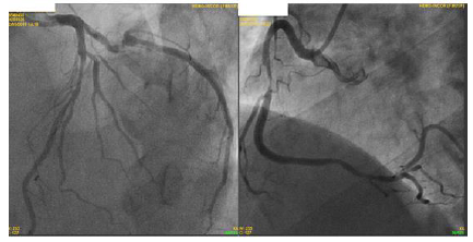
Analise as afirmativas abaixo: I. Paciente apresenta lesão grave em artéria coronária direita e a revascularização percutânea dessa lesão pode ser realizada visando melhora de sintomas. II. Paciente apresenta lesão em artéria coronária descendente anterior. O uso de métodos fisiológicos, como reserva de fluxo coronário (FFR) pode ser indicado para melhor avaliação e caso FFR menor que 0,8 a revascularização está indicado. III. Em situações de lesões triarteriais, com acometimento de coronária descendente anterior (DA) em porção proximal, há indicação de revascularização. Deve-se calcular o Synthax escore e caso ele for maior que 32, há indicação de revascularização percutânea (via hemodinâmica) e caso menor que 32, há indicação de revascularização cirúrgica. IV. Independente do tipo de revascularização a ser indicada (percutânea ou cirúrgica), o paciente deve receber dupla antiagregação plaquetária por 1 ano, com indicação Classe IA de diretrizes.
Assinale a alternativa correta.
Em relação ao caso clínico descrito, assinale a alternativa incorreta.
Homem,71 anos, com histórico de Hipertensão Arterial Sistêmica, Diabetes e Acidente Vascular Cerebral prévio. Refere arritmia paroxística de longa data (eletrocardiograma abaixo da passagem no pronto socorro). Vem em consulta ambulatorial com sintomas de palpitações com 2 passagens em pronto socorros recentes por estes sintomas, com necessidade de medicação intravenosas e recebeu alta. Nega angina, síncope, dispneia ou demais queixas. Faz uso de atenolol 100mg por dia e varfarina 5mg por dia (INR na consulta de 2,5). Traz ecocardiograma com fração de ejeção ventricular 64%, átrio esquerdo de 43mm, septo ventricular de 14mm e parede posterior de 14mm. Sem alterações em valvas cardíacas. O paciente questiona sobre a possibilidade de mudanças nas medicações e possíveis intervenções relacionadas à arritmia.
Analise as afirmações abaixo:
I. Para evitar paroxismos da arritmia do paciente, drogas antiarrítmicas poderiam ser utilizadas. Dentre elas, amiodarona e propafenona seriam boas escolhas. A propafenona tem menor ocorrências de efeitos colaterais e, portanto, seria a primeira escolha.
II. Indicações de ablação da arritmia seriam: Caso paciente apresente intolerância às medicações antiarrítmicas, apresente sintomas relacionados à arritmia, mesmo na presença de drogas antiarrítmicas, ou tem a preferência pelo procedimento invasivo.
III. Caso paciente tem o desejo de não utilizar medicações anticoagulantes pelo receio de sangramento, a ablação da arritmia seria uma alternativa e caso sucesso no procedimento, o anticoagulante poderia ser suspenso.
IV. O uso de novos anticoagulantes (DOACS) são preferenciais para o paciente, tanto por melhor posologia, quanto por melhores benefícios em estudos clínicos.

Assinale a alternativa correta.