Questões de Concurso
Filtrar
487.824 Questões de concurso encontradas
Página 172 de 97.565
Questões por página:
Questões por página:
Concurso:
Prefeitura de Guarulhos - SP
Disciplina:
Medicina
Primigesta de 39 semanas de idade gestacional, sem comorbidades, em seguimento no pré-natal de risco habitual, foi admitida na maternidade para condução do trabalho de parto. Quais são os cuidados e orientações a serem prestadas neste momento, de acordo com a Diretriz Nacional de Assistência ao Parto Normal, de 2022?
Concurso:
Prefeitura de Guarulhos - SP
Disciplina:
Medicina
Secundigesta,37 semanas e 2 dias de idade gestacional, comparece à maternidade por redução da movimentação fetal. Teve um parto cesárea há 3 anos por desejo. No cartão do pré-natal, nota-se tipagem sanguínea O Rh negativo. A mesma não sabe a tipagem sanguínea do parceiro e não recorda se recebeu imunoglobulina na última gestação. Após exame físico obstétrico inicial, é solicitada cardiotocografia para avaliação da vitalidade fetal. O seguinte traçado foi obtido, interprete-o e, em seguida, assinale a alternativa correta.
Concurso:
Prefeitura de Guarulhos - SP
Disciplina:
Medicina
A síndrome HELLP é uma das mais relevantes emergências obstétricas. Esse acrônimo significa hemólise, aumento de enzimas hepáticas e plaquetopenia. Desenvolve-se em 10% a 20% das gestantes com pré-eclâmpsia grave/eclâmpsia e requer condutas específicas afim de assegurar o bem-estar materno-fetal. Assinale a conduta adequada mediante essa emergência.
Concurso:
Prefeitura de Guarulhos - SP
Disciplina:
Medicina
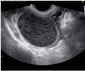
Paciente de 24 anos, comparece ao pronto socorro com queixa de dor em região suprapúbica e na fossa ilíaca à direita, com início há cerca de 2 dias e piora progressiva. Nega queixas urinárias ou gastrointestinais. Menarca aos 12 anos, sexarca aos 18 anos, vida sexual ativa com parceiro único, com uso de preservativo masculino. Método contraceptivo: DIU de cobre. A data da última menstruação foi há 2 semanas e 5 dias. Ao exame físico, bom estado geral, estável hemodinamicamente, mucosas coradas; dor à palpação profunda da fossa ilíaca direita, sem sinais de peritonite. Ao toque vaginal, identifica-se massa palpável na mesma topografia.
A USG-TV veio com o seguinte achado:
Frente a essas informações, qual a melhor hipótese diagnóstica?
A USG-TV veio com o seguinte achado:
Frente a essas informações, qual a melhor hipótese diagnóstica?
Concurso:
Prefeitura de Guarulhos - SP
Disciplina:
Medicina
No Brasil, a hemorragia pós-parto (HPP) é a segunda causa de morte materna, estando apenas atrás dos distúrbios hipertensivos na gravidez. Para reduzir esses casos, é de suma importância que a equipe assistencial saiba identificar os fatores de risco para tal condição. Assinale a alternativa que apresenta fatores de risco para HPP relacionados à atonia uterina.